神经导航、精准定位,微创手术清除丘脑血肿

2020-12-18 19:08颅脑外科

神经导航、精准定位,微创手术清除丘脑血肿

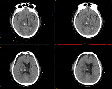
2020-10-19凌晨00时周某头晕头痛,伴大汗淋漓恶心、呕吐,由家属送至我院急诊就诊,就诊意识逐渐模糊,到我院急诊科时已昏迷,呼之不应,急诊头颅CT提示:右侧丘脑基底节区出血并破入脑室。神经外科医生检查发现患者深度昏迷、瞳孔散大、呼吸困难当即决定紧急行神经导航下显微手术治疗,手术仅2小时即顺利完成,术后复查见血肿完全清除,第二天患者即部分恢复意识。现患者恢复清醒,正结合中医、壮医康复之中。

图片 5

手术在我院神经外科蔡利主任带领下,利用神经导航进行精确规划,精准定位血肿与周围神经结构,合理设计手术切口,显微镜下锁孔开颅,利用纵裂这一大脑自然间隙,最大化减少医源性创伤,完全清除了血肿,同时保护了血肿周围的重要神经结构。

图片 6

经蔡利主任介绍,丘脑出血位置深、毗邻众多重要神经、血管结构,手术难度高、风险大,保守治疗是以往临床常用的治疗丘脑出血的方法,但疗效并不理想。患者血肿破入脑室且出血量超过15ml时,治疗方式多为血肿穿刺术与侧脑室引流术相结合,并在术后间断注射尿激酶液化引流血肿,不过,此种治疗方法无法将血肿压迫下丘脑及脑干的情况在短时间解除,因而效果也不理想。微创手术是近几年临床上广泛采用的治疗丘脑出血的方法,具有创伤小、出血量少、手术时间短等优势,得到医生及患者的认可。显微镜下锁孔手术充分践行了微创手术理念,在显微镜下借助神经导航,医生可精确地定位出血位置,保证手术视野良好,同时,通过内镜或显微镜光源的转变,能够清楚地显示微小血管,使止血操作有效进行。

丘脑出血应用显微镜下锁孔手术治疗时,可减轻手术损伤,减少术后并发症,促使患者术后意识及神经功能良好地恢复,降低病死率,并提高患者的生活自理能力,改善预后情况。

我院颅脑外科自开科以来,借助精准神经外科平台,通过显微镜下锁孔手术方式已完成了几十例丘脑出血手术,取得良好效果,无一例死亡。秉承我院“行健壮乡  道济天下”的宗旨,我院颅脑外科将继续引领精准神经手术治疗向更高水平高质量迈进。

疾病小科普:

丘脑出血占高血压脑出血的8%-15%由高血压动脉硬化引起的丘脑出血占84%丘脑出血的临床症状主要取决于出血是局限于丘脑,还是向周围临近区域扩展及与出血量的多少密切相关。由于丘脑是植物神经高级中枢,又下续脑干,周毗诸多重要神经、血管结构,故其致残、致死率高,全脑室铸形时死亡率高达60-91%。